Tartar (Calculus)
Overview
This is a form of hardened plaque that builds up on your teeth. You can’t brush it away. It can be embarrassing, and it’s bad for your teeth and gums.
Causes
Tartar buildup is caused by poor dental hygiene. It happens when you don't brush and floss correctly. This lets plaque stay on your teeth. Over time, the plaque mixes with minerals from your saliva. It hardens to form tartar. Tartar has a rough surface, which gives bacteria a place to live and grow. Eventually, bacteria irritates your gums. It causes them to become tender and swollen, a condition we call "gingivitis."
Symptoms
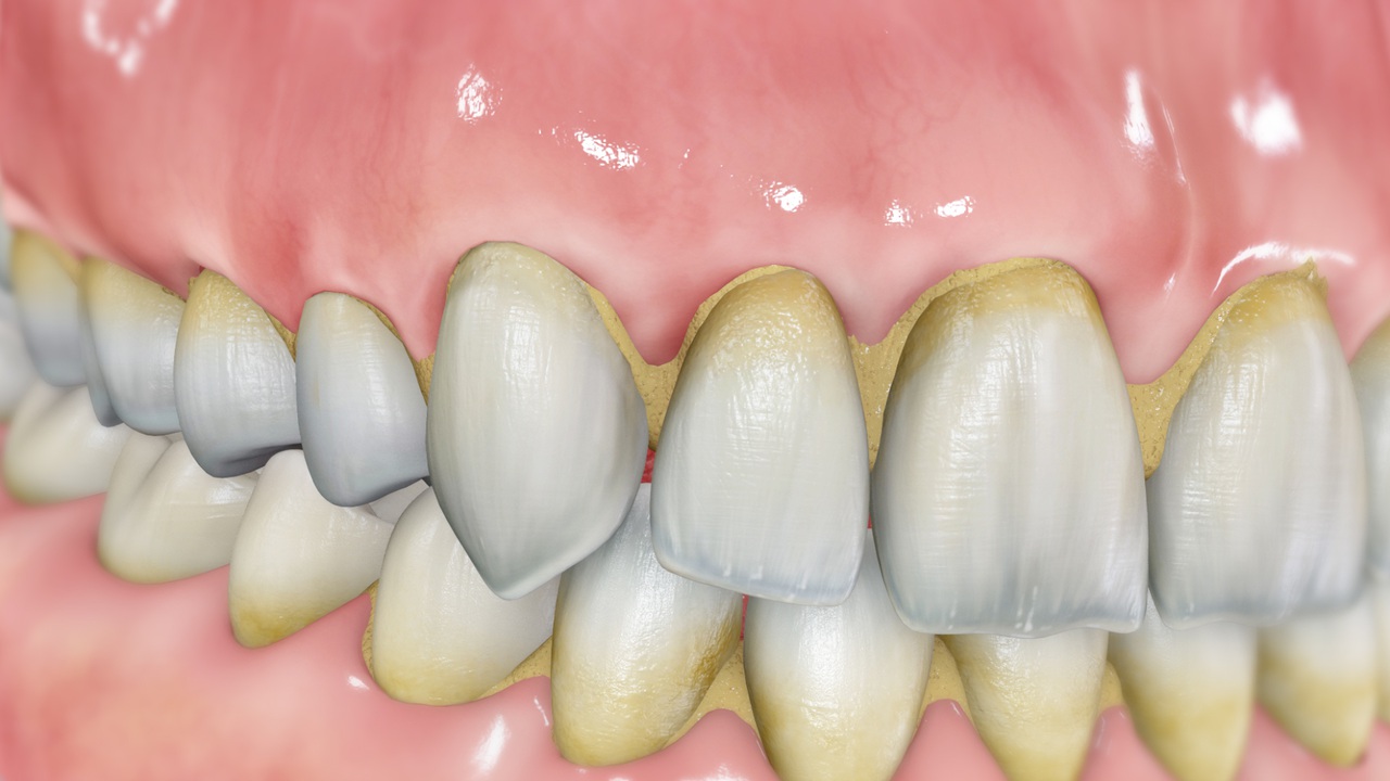
Tartar looks like a thick crust on your teeth. It stains easily, and it may appear yellowish or brownish. Your gums may be red and swollen.
Treatment
Tartar can only be removed during a dental visit. Your dentist or hygienist uses special instruments to scrape away the tartar. We call this procedure "scaling." Make sure to ask your hygienist for tips on how to keep tartar from coming back.
- Dental - Conditions






Leave a comment