Tooth Decay (Dental Caries)
Overview
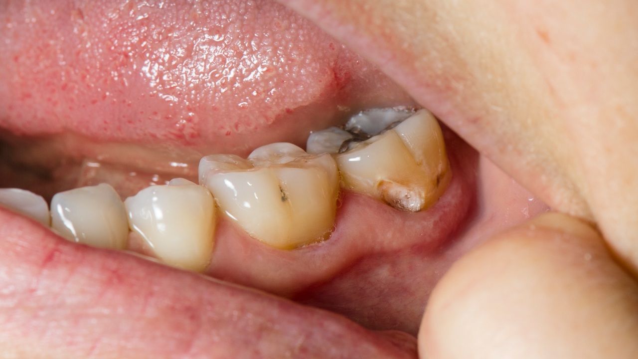
Your teeth are protected by a hard outer layer we call "enamel." If you don't practice good oral hygiene, this enamel can break down. Harmful bacteria gets through the weak enamel and begins to destroy your teeth. This is tooth decay.
Causes
Tooth decay is often caused by poor brushing and flossing habits. It can happen if you don't get enough fluoride, which helps keep your teeth strong. Your teeth can decay if your diet includes a lot of sticky or sugary foods and drinks. Infants who are given a bottle of milk, formula or juice at bedtime may have tooth decay because their teeth are exposed to this liquid for hours as they sleep. Stomach acid is also very bad for tooth enamel. So if you have gastric reflux or if you vomit frequently, you may have tooth decay. And things like dry mouth and certain medications can lead to tooth decay in older people.
Symptoms
If you have tooth decay, your teeth may be sensitive. You may have pain when you eat or drink sweets and things that are hot or cold. You may have a toothache, and pain when you bite. Your teeth may become stained. These stains may be white, brown or black. Holes may form in your enamel. We call these "cavities."
Treatment
Treating tooth decay depends on your needs. You might have to brush and floss, and get more fluoride. You may need to change your diet. A dentist may need to fix problems with your teeth. Your dentist can create a care plan that's right for you.
- Dental - Conditions






Leave a comment