About Proton Therapy
What is proton therapy for cancer treatment?
Proton therapy is an advanced form of radiation treatment that targets tumors with precision.
Unlike traditional radiation, protons stop at a certain depth and do not continue to travel through the body. This allows surrounding healthy tissues to be undamaged by radiation.
Proton therapy is useful for tumors near vital structures such as the brain, spinal cord, optic nerve, heart, lung, bladder and rectum, where treatment needs to be more focused to minimize damage to healthy tissues.
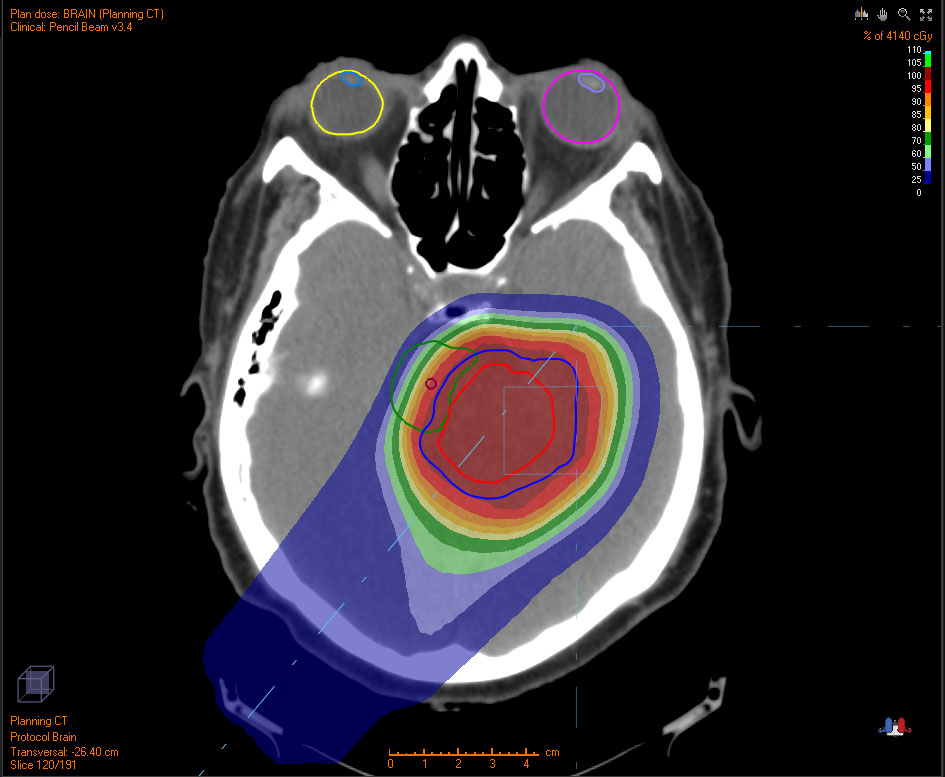
Below are examples of tumors treated with proton therapy and standard X-rays. In both cases, the tumor is treated with radiation. However, proton therapy delivers most of the radiation directly to the tumor, leaving much of the surrounding tissue unaffected. In contrast, standard X-ray radiation exposes a larger area of healthy tissue to radiation.
Abdominal images comparing the amount of radiation to the tumor and healthy tissues.
WITH PROTONS
Grey/white area indicates no radiation exposure.

WITH X-RAYS
Colored area indicate radiation exposure.

Subscribe to our Conquering Cancer newsletter
An ongoing guide for patients and their loved ones





